Παθήσεις - Κακώσεις

Αρθρίτιδα καρπού και ποδοκνημικής

Κατόπιν ενός τραυματισμού ή επανειλλημένων μικροτραυματισμών είναι δυνατόν να αναπτυχθεί μετά από χρόνια αρθρίτιδα, δηλαδή εκτεταμένη φθορά του χόνδρου – και άλλων στοιχείων – μιάς άρθρωσης. Η κατάσταση αυτή συνοδεύεται από μόνιμο πόνο και δυσχρησία ποικίλοντος βαθμού. Τα συντηρητικά μέσα (φάρμακα, φυσιοθεραπείες) προσφέρουν μικρή βοήθεια. Αποτελεσματική είναι η χειρουργική παρέμβαση είτε με αρθροπλαστική (αντικατάσταση των φθαρμένων αρθρικών επιφανειών με τεχνητές) είτε με αρθρόδεση (συνένωση των 2 αρθρούμενων οστών). Και οι 2 όμως αυτές λύσεις έχουν τα μειονεκτήματά τους.

Στην περιοχή του καρπού και της ποδοκνημικής, ειδικά σε αρχικά στάδια, η αρθρίτιδα μπορεί εναλλακτικά να αντιμετωπιστεί με καλά σχεδιασμένες οστεοτομίες παρακειμένων οστών, οι οποίες προσφέρουν σημαντική υποκειμενική βελτίωση και σε μεγάλο βαθμό ανάσχεση της προόδου της αρθρίτιδος, παρόλο που η ακτινολογική εικόνα δεν μεταβάλλεται.

Η 3η αυτή μέθοδος είναι απαλλαγμένη από προβλήματα των 2 προηγουμένων και επιπλέον αφήνει ανοικτό το πεδίο για τη χρήση άλλων μεθόδων στο μέλλον, αν αυτό απαιτηθεί.

Η μετεγχειρητική πορεία μετά από τέτοια επέμβαση μοιάζει με αυτήν ενός κατάγματος, μικρής βαρύτητος.

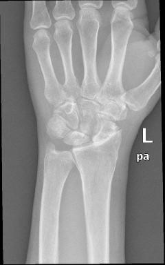
Kαρπός - Ασθενής 1 - Προεγχειρητικά
Kαρπός - Ασθενής 1 - Mετεγχειρητικά
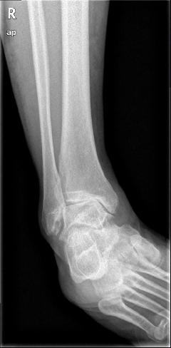
Ποδοκνημική - Ασθενής 2 - Προεγχειρητικά
Ποδοκνημική - Ασθενής 2 - Μετεγχειρητικά

Όλες οι φωτογραφίες ολες προέρχονται από το προσωπικό αρχείο του κου Μ. Τυλλιανάκη