Παθήσεις - Κακώσεις

Κατάγματα κάτω πέρατος κερκίδος – κατάγματα Colle’s

Είναι τα συχνότερα κατάγματα στον σκελετό και συμβαίνουν συνήθως σε γυναίκες μετά την εμμηνόπαυση, όταν πέφτουν στο έδαφος και προσπαθούν με συγκρατηθούν βάζοντας την παλάμη. Τα πιο δύσκολα να αντιμετωπιστούν είναι εκείνα που επεκτείνονται μέχρι την αρθρική επιφάνεια.

Στην πλειονότητά τους αντιμετωπίζονται συντηρητικά (χωρίς χειρουργική επέμβαση) με ακινητοποίηση με γύψο επί 4-5 εβδομάδες. Στις περισσότερες περιπτώσεις πριν από την εφαρμογή του γύψου θα χρειαστεί από τον ορθοπαιδικό ειδικός χειρισμός και έλξη του κατάγματος (τράβηγμα) για να επανέλθει στην αρχική του θέση. Στις περισσότερες περιπτώσεις τα κατάγματα αυτά πωρώνονται (κολλούν) χωρίς ιδιαίτερα προβλήματα. Ωστόσο συνήθως παραμένει παραμόρφωση στο περιφερικό άκρο του αντιβραχίου, που ορισμένες φορές είναι πολύ εμφανής.

Όταν το κάταγμα δεν μπορεί να αναταχθεί ή διορθώνεται αλλά μετά από μερικές μέρες στο γύψο επανέρχεται στην αρχική θέση παρεκτόπισης, τότε πρέπει να χειρουργηθεί. Η επέμβαση έχει το επιπλέον πλεονέκτημα ότι απαλλάσσει τον/την ασθενή από την μακρά μετεγχειρητική ακινητοποίηση του άκρου.

Υπάρχουν διάφορες χειρουργικές τεχνικές και υλικά που χρησιμοποιούνται, ανάλογα με τη μορφολογία του κατάγματος. Μετεγχειρητικώς ενδέχεται να εφαρμοστεί ολιγοήμερη ακινητοποίηση. Εαν απαιτηθεί φυσιοθεραπεία, αυτή είναι καλό να γίνεται μετά την 6η μετεγχειρητική εβδομάδα.

Η χειρουργική επέμβαση μπορεί να είναι ιδιαίτερα δύσκολη. Γίνεται υπό γενική αναισθησία, βραχιόνιο block ή στελεχιαίο (Bier’s) block. Ο/Η ασθενής εξέρχεται αυθημερόν.

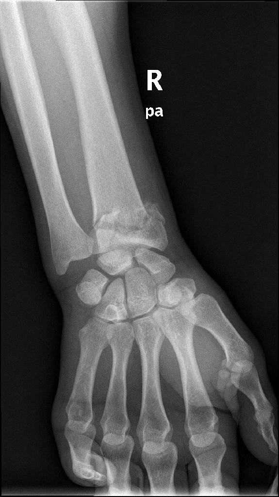
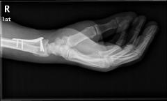
Περίπτωση 1ου ασθενούς

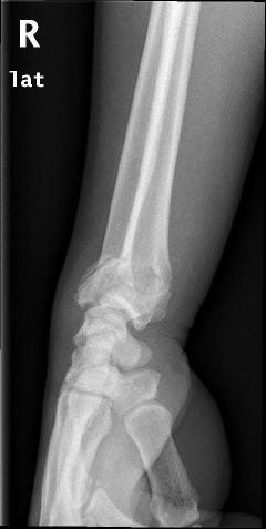
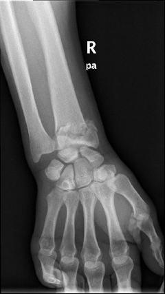
Περίπτωση 2ου ασθενούς

Όλες οι φωτογραφίες ολες προέρχονται από το προσωπικό αρχείο του κου Μ. Τυλλιανάκη