Παθήσεις - Κακώσεις

Κατάγματα και κατάγματα - εξαρθρήματα της περιοχής του αγκώνα

Tα κατάγματα και τα κατάγματα-εξαρθρήματα της περιοχής του αγκώνος αφορούν στο κάτω πέρατος του βραχιονίου και και το άνω πέρας της κερκίδος και της ωλένης. Μερικές φορές συνοδεύονται και από ρήξεις συνδέσμων της περιοχής. Ειναι ιδιαίτερα δύσκολες κακώσεις και απαιτείται μεγάλη εμπειρία στην αντιμετώπισή τους, επειδή συμβαίνουν σε περιοχές που τα οστά έχουν πολύπλοκη μορφή και διάφορα σημαντικά αγγεία και νεύρα βρίσκονται πολύ κοντά το ένα στο άλλο.

Η αντιμετώπισή τους σχεδόν πάντοτε είναι χειρουργική. Χρησιμοποιούνται ειδικές πλάκες και βίδες. Στα κατάγματα του άνω πέρατος της κερκίδος συχνά αντικαθίσταται η κεφαλή της κερκίδος με προσθετική κεφαλή (αρθροπλαστική). Σε ασθενείς της 3ης ηλικίας συντριπτικά κατάγματα, ορισμένες φορές, αντιμετωπίζονται με ολική αρθροπλαστική.

Η χειρουργική επέμβαση γίνεται συνήθως με γενική αναισθησία. Ο χρόνος παραμονής στο νοσοκομείο είναι 5-7 ημέρες. Μετεγχειρητικά μπορεί να εμφανιστεί κινητική και/ή αισθητική δυσλειτουργία του χεριού λόγω επηρεασμού νεύρων της περιοχής (ωλένιο, μέσο, κερκιδικό). Τέτοιου είδους προβλήματα είναι παροδικά, στις περισσότερες περιπτώσεις.

Ακόμη και με τις καλύτερες προϋποθέσεις τα μη ικανοποιητικά αποτελέσματα μπορεί να φθάσουν στο 30%. Το σημαντικότερο πρόβλημα που μακροχρόνια αντιμετωπίζει ο άρρωστος είναι η δυσκαμψία (αγκύλωση) του αγκώνα.

Μετά την επέμβαση ο/η ασθενής αρχίζει προσεκτικά κινήσεις του αγκώνα, με τον τρόπο που ο χειρουργός του θα του επιδείξει. Εντριβές, μαλάξεις ή βίαιες κινήσεις στον αγκώνα μπορεί να έχουν καταστροφικά αποτελέσματα. Φυσιοθεραπεία προστίθεται αργότερα.

Περίπτωση 1ου ασθενούς

Προεγχειρητική
Προεγχειρητική
4 χρόνια μετά το χειρουργείο
4 χρόνια μετά το χειρουργείο

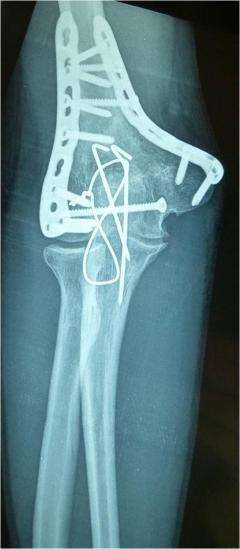
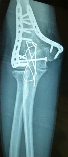
Περίπτωση 2ου ασθενούς

Προεγχειρητική
1 χρόνo μετά το χειρουργείο
1 χρόνo μετά το χειρουργείο
1 χρόνo μετά το χειρουργείο

Όλες οι φωτογραφίες ολες προέρχονται από το προσωπικό αρχείο του κου Μ. Τυλλιανάκη