Παθήσεις - Κακώσεις

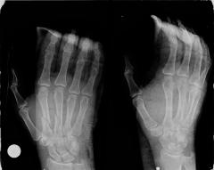
Κατάγματα δακτύλων της άκρας χειρός

Τα εν λόγω κατάγματα είναι συχνά σε νέους ενήλικες, ειδικά χειρώνακτες, καθώς και σε αθλουμένους και μπορεί να είναι μέρος βαρύτερων και πλέον σύνθετων τραυματισμών, που περιλαμβάνουν τένοντες, αγγεία, νεύρα. Οι περιπτώσεις που αντιμετωπίζονται χωρίς χειρουργική επέμβαση είναι λίγες. Ως υλικά οστεοσύνθεσης χρησιμοποιούνται είτε κατάλληλου σχεδιασμού μικρές πλάκες και βίδες είτε λεπτές βελόνες. ΟΙ βελόνες αφαιρούνται πολύ εύκολα μετά από λίγες εβδομάδες, ενώ τα άλλα υλικά παραμένουν και αφαιρούνται χειρουργικώς μόνο εάν χρειαστεί.

Η χειρουργική επέμβαση είναι λεπτή, γίνεται με μεγεθυντικά γυαλιά (loupes) και λεπτά εργαλεία και δεν απαιτεί παραμονή στο νοσοκομείο. Η μετεγχειρητική κινητοποίηση εξαρτάται από τον τύπο του κατάγματος, το είδος της οστεοσύνθεσης αλλά και τυχόν συμπαρομαρτούσες καταστάσεις. Δεν είναι σπάνιο να χρειάζεται περίοδος φυσιοθεραπείας στη συνέχεια.

Όλες οι φωτογραφίες ολες προέρχονται από το προσωπικό αρχείο του κου Μ. Τυλλιανάκη