Παθήσεις - Κακώσεις

Ψευδάρθρωση σκαφοειδούς - Άσηπτη νέκρωση κεντρικού πόλου του σκαφοειδούς - Αγγειούμενα οστικά μοσχεύματα

Η ψευδάρθρωση καταγμάτων του σκαφοειδούς δεν είναι σπάνια επιπλοκή (βλ αντίστοιχο κεφάλαιο). Λόγω ανατομικών και φυσιολογικών ιδιαιτεροτήτων του σκαφοειδούς ή λόγω υποτίμησης των ενοχλημάτων εκ μέρους του αρρώστου, το κάταγμα συχνά διαφεύγει της αρχικής διαγνώσεως. Αυτό οδηγεί σε ανεπαρκή αντιμετώπιση, η οποία καταλήγει σε μη πώρωση (ψευδάρθρωση) του σκαφοειδούς. Η κατάσταση αυτή αρχικά έχει ελαφρά ή καθόλου συμπτώματα, με την πάροδο όμως των ετών εγκαθίσταται προοδευτικά επώδυνος περιορισμός της κινητικότητας του καρπού και ελάττωση της δύναμης δραγμού (αδύναμο σφίξιμο σε γροθιά).

Οσο κοντύτερα προς τον αγκώνα είναι το κάταγμα (κατάγματα του κεντρικού πόλου) τόσο μεγαλύτερη είναι η πιθανότητα να εμφανισθεί και νέκρωση του κεντρικού πόλου λόγω διακοπής της αιμάτωσης (άσηπτη νέκρωση). Αυτό καθιστά ακόμη πιο δύσκολη τον χειρισμό της ψευδάρθρωσης.

Η αντιμετώπιση της ψευδάρθρωσης του σκαφοειδούς είναι πάντοτε χειρουργική. Με ραχιαία ή παλαμιαία προσπέλαση αποκαθίσταται ο άξονας του σκαφοειδούς και σταθεροποιείται το σκαφοειδές με ειδική βίδα ή βελόνες, με παράλληλη τοποθέτηση οστικών μοσχευμάτων. Μπορεί επιπλέον να γίνει και οστεοτομία κλειστής σφήνας του περιφερικού άκρου της κερκίδος. Στις περιπτώσεις άσηπτης νέκρωσης το μόσχευμα πρέπει να είναι αγγειούμενο – για να προσδώσει αιμάτωση στο νεκρωμένο κεντρικό τμήμα – και λαμβάνεται με μικροχειρουργικές τεχνικές από το περιφερικό τμήμα της κερκίδος ή από άλλα τμήματα του σώματος

Προεγχειρητικά
Διεγχειρητικά
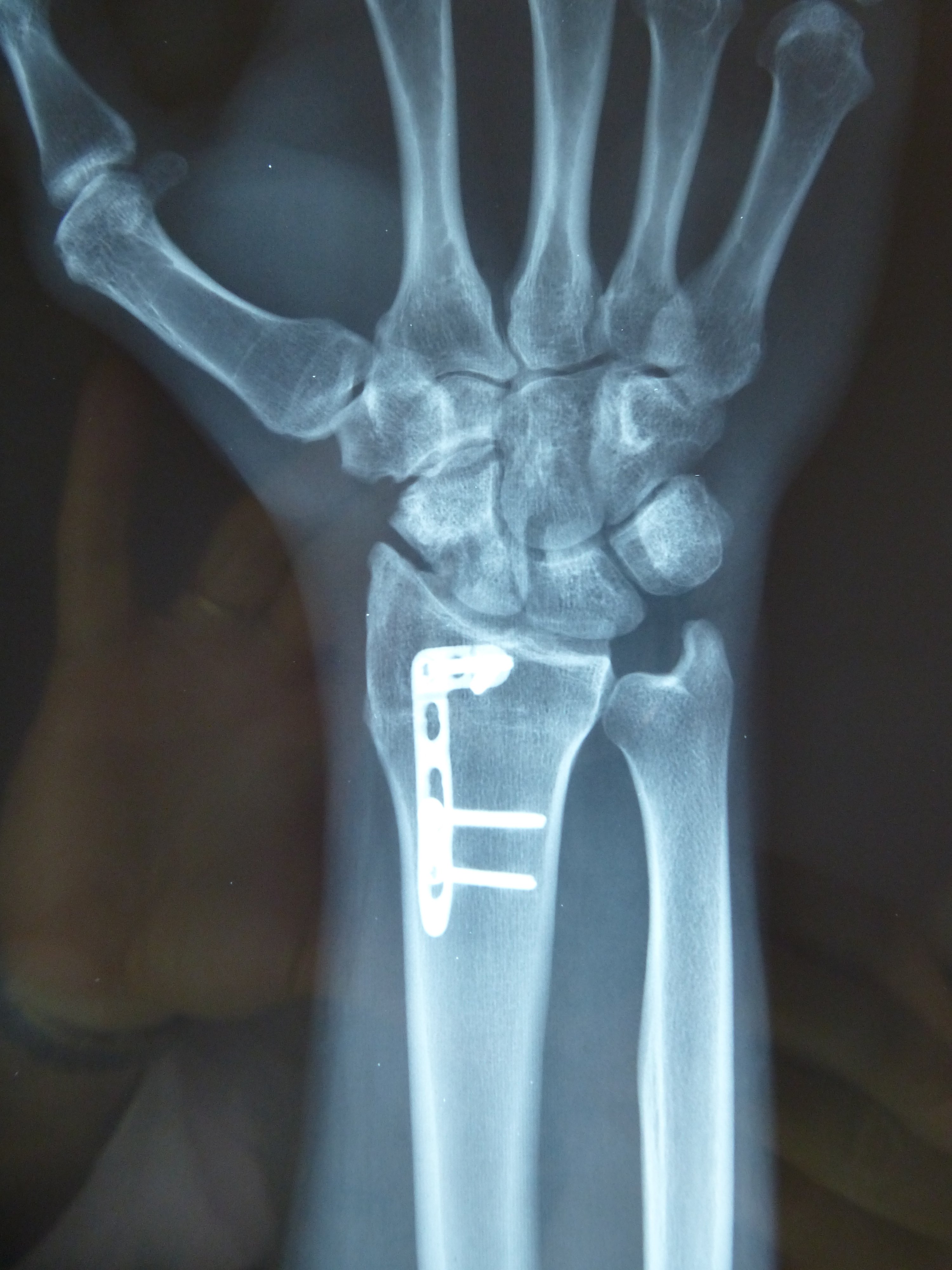
Μετεγχειρητικά 1
Μετεγχειρητικά 2
Περίπτωση 2: Προεγχειρητικά
Περίπτωση 2: Μετεγχειρητικά 1
Περίπτωση 2: Μετεγχειρητικά 2

Όλες οι φωτογραφίες ολες προέρχονται από το προσωπικό αρχείο του κου Μ. Τυλλιανάκη